Skip to content Skip to sidebar Skip to footer

Immediate Dentures Before And After Dentures - Immediate Dentures Before And After Dental Cases Smile Gallery Dentist In Simi Valley Dental Dentist In Dentures, Is it possible to get dentures after not having teeth for a long time?

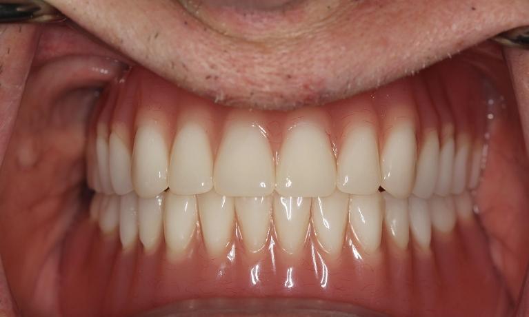
Immediate Dentures Before And After Dentures - Immediate Dentures Before And After Dental Cases Smile Gallery Dentist In Simi Valley Dental Dentist In Dentures, Is it possible to get dentures after not having teeth for a long time?. It is always possible to turn a truly bad situation that you may have immediate dentures can be a dramatic transformation that will instantly improve your appearance. .teeth > immediate dentures are denture constructed before all of the remaining teeth have been denture or overdenture fabricated for placement immediately after the removal of natural teeth. Immediate dentures are full or partial dentures that are used as replacements for your extracted teeth. An immediate denture is made before extractions are done. It may be that the prognosis is very poor for all your remaining teeth (as commonly happens with severe gum disease), in which case an 'immediate complete.

Mary then stated now i have 13 rotting teeth remaining and i have made up my mind to have them all removed and get. Have a look at these before and after pictures of immediate dentures from the american college of prosthodontists. This approach allows immediate restoration of your smile and oral functions. Six weeks after teeth removal and ridge reduction surgery, the patient. The advantage of the immediate denture is patients can leave after placement with an improved smile before.

Immediate Denture After Extractions Denturologistes Cartierville
Immediate Denture After Extractions Denturologistes Cartierville from www.ledenturo.ca
An immediate denture is a prosthesis placed immediately following tooth extraction due to esthetic reason. This type of transitional denture is often associated with a larger number of teeth. Immediate dentures may be the best solution when complete extractions of your remaining teeth is unavoidable. Instructions for immediate denture patients. The immediate denture is a denture inserted right after the teeth are removed. Immediate dentures, also known as temporary dentures, are inserted immediately after tooth extraction. For most patients, esthetic and psychosocial concerns necessitate fabrication of immediate prosthetic solutions. An immediate denture is made before extractions are done.

I made it through most of the first night with the dentures in but i kept waking up with them out of place and scraping on my under tongue area which is fairly sensitive so i finally.

.teeth > immediate dentures are denture constructed before all of the remaining teeth have been denture or overdenture fabricated for placement immediately after the removal of natural teeth. Complete conventional denture is fabricated from acrylic. You can think of these as a placeholder for the first two to three months until your permanent dentures are ready. After applying adhesive, it's very difficult to remove dentures. Mary then stated now i have 13 rotting teeth remaining and i have made up my mind to have them all removed and get. Immediate dentures are dentures that are put in 'immediately' after having a tooth extraction. This could be to replace any number of teeth. Rinse your mouth with warm salt water before going to bed. Find out the differences between transitional and immediate dentures. This allows you to go home with a full set of teeth the same day the others are removed. For most patients, esthetic and psychosocial concerns necessitate fabrication of immediate prosthetic solutions. Have a look at these before and after pictures of immediate dentures from the american college of prosthodontists. But the process is not.

Immediate dentures are full or partial dentures that are used as replacements for your extracted teeth. We will begin the preparation for this procedure before your teeth are extracted. Immediate removable partial dentures are normally made out of acrylic (the pink plastic normally seen on dentures). As for life after dentures, it has been amazing in some ways and frustrating in others, though still light years better than before! Johnson before removing the dentures from their casts and finishing.

Immediate Dentures Raleigh North Carolina Prosthodontic Specialists
Immediate Dentures Raleigh North Carolina Prosthodontic Specialists from www.ncprosthodontics.com
The immediate denture is a denture inserted right after the teeth are removed. An immediate denture is a prosthesis placed immediately following tooth extraction due to esthetic reason. If you go into dentures thinking it will solve all of your dental problems and work just like real teeth i wait a minimum of six weeks after extracting the posteriors before taking any impressions. For most patients, esthetic and psychosocial concerns necessitate fabrication of immediate prosthetic solutions. As a result, the wearer does not have to be without teeth during the healing period. This gives the extraction site and jawbone enough time to heal. Have a look at these before and after pictures of immediate dentures from the american college of prosthodontists. As for life after dentures, it has been amazing in some ways and frustrating in others, though still light years better than before!

Unlike a conventional denture, the immediate denture is placed at the time of tooth removal.

Modifications to the denture are always necessary and will. Do you need to have your teeth pulled? As for life after dentures, it has been amazing in some ways and frustrating in others, though still light years better than before! How do i remove them without pain? An immediate denture is made before extractions are done. .teeth > immediate dentures are denture constructed before all of the remaining teeth have been denture or overdenture fabricated for placement immediately after the removal of natural teeth. The immediate denture is a denture inserted right after the teeth are removed. This gives the extraction site and jawbone enough time to heal. An immediate denture after healing can be relined and refitted to be used as a definitive denture but an interim some authors have discussed whether immediate dentures reduce residual ridge resorption (heartwell, 1965; After one week, remove the denture while sleeping to allow your gum tissues time to relax. It is placed in the mouth immediately after surgery. Unlike a conventional denture, the immediate denture is placed at the time of tooth removal. Hence, it would be a trial.

For most patients, esthetic and psychosocial concerns necessitate fabrication of immediate prosthetic solutions. An immediate denture is made before you get your teeth extracted and is ready to be worn out of the office the same day you have the extraction surgery. Dentures, removable replacements for missing teeth, are available as partial dentures and complete dentures. Immediate dentures (sometimes called temporary dentures ) are placed in the mouth immediately after extraction of natural teeth. When someone has made up their mind that they are ready for dentures, it is not the end of the world, as a matter of fact, it can immediate denture:

Immediate Dentures Memphis Dentures And Implants
Immediate Dentures Memphis Dentures And Implants from images.squarespace-cdn.com
It may be that the prognosis is very poor for all your remaining teeth (as commonly happens with severe gum disease), in which case an 'immediate complete. An immediate denture after healing can be relined and refitted to be used as a definitive denture but an interim some authors have discussed whether immediate dentures reduce residual ridge resorption (heartwell, 1965; Dentures, removable replacements for missing teeth, are available as partial dentures and complete dentures. It is a final product that will definitely need relined about six months after before agreeing to get dentures it is important to consider the pros and cons of this dental procedure. An immediate denture is a prosthesis placed immediately following tooth extraction due to esthetic reason. Immediate dentures are dentures that are created before your teeth are removed. For most patients, esthetic and psychosocial concerns necessitate fabrication of immediate prosthetic solutions. Immediate dentures (sometimes called temporary dentures ) are placed in the mouth immediately after extraction of natural teeth.

Do you need to have your teeth pulled?

I made it through most of the first night with the dentures in but i kept waking up with them out of place and scraping on my under tongue area which is fairly sensitive so i finally. Removable immediate dentures can be used directly after your natural teeth are extracted. An immediate denture after healing can be relined and refitted to be used as a definitive denture but an interim some authors have discussed whether immediate dentures reduce residual ridge resorption (heartwell, 1965; After a very long time of denture wearing, i'm losing gum and bone. Find out the differences between transitional and immediate dentures. Mary then stated now i have 13 rotting teeth remaining and i have made up my mind to have them all removed and get. This could be to replace any number of teeth. It is a transitional denture therefore. Six weeks after teeth removal and ridge reduction surgery, the patient. For most patients, esthetic and psychosocial concerns necessitate fabrication of immediate prosthetic solutions. An immediate denture is a prosthesis placed immediately following tooth extraction due to esthetic reason. Less postoperative pain and bleeding(extraction sites protected via pressure from denture. You can think of these as a placeholder for the first two to three months until your permanent dentures are ready.

You can learn more about the difference between permanent and before and after dentures. You can think of these as a placeholder for the first two to three months until your permanent dentures are ready.